Basics of Post and Core

  • Master the fundamentals of post and core restorations in dentistry.

Created by docMEP

About the course

Description:

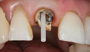
This video lecture series covers the essential knowledge and skills required for understanding the basics of post and core restorations in dentistry. From materials used to techniques applied, these video lectures provide a comprehensive overview for dental professionals.

Key Highlights:

  • Materials for post and core restorations
  • Techniques for post and core build-up
  • Common challenges and solutions

What you will learn:

  • Understanding materials
    Learn about the different types of materials used in post and core restorations and their properties.
  • Techniques for build-up
    Master the techniques for creating post and core build-ups that ensure stability and longevity.
  • Addressing challenges
    Identify common challenges faced during post and core procedures and how to effectively address them.

Course Curriculum

What do we offer

Live learning

Learn live with top educators, chat with teachers and other attendees, and get your doubts cleared.

Structured learning

Our curriculum is designed by experts to make sure you get the best learning experience.

Community & Networking

Interact and network with like-minded folks from various backgrounds in exclusive chat groups.

Learn with the best

Stuck on something? Discuss it with your peers and the instructors in the inbuilt chat groups.

Practice tests

With the quizzes and live tests practice what you learned, and track your class performance.

Get certified

Flaunt your skills with course certificates. You can showcase the certificates on LinkedIn with a click.

Reviews

Enroll Now